L’uomo una macchina perfetta!
Una “macchina” però che è soggetta a danneggiamenti continui, ad usura, ad invecchiamento. Ecco allora l’insorgenza di malattie con conseguenti modifiche del nostro stato di salute, della nostra qualità di vita.
Una delle “alterazioni” più frequenti è l’ATEROSCLEROSI, termine con cui si identificano modifiche strutturali dei nostri vasi sanguigni ed in particolar modo delle arterie il cui compito è trasportare il sangue ossigenato dal cuore a tutti gli organi.
Ma le arterie non sono dei condotti passivi, dei semplici “tubi inerti” del nostro apparato circolatorio; sono degli “elementi attivi” la cui parete è formata da tre strati ( uno interno, uno intermedio ed uno esterno) in cui si trovano varie cellule (muscolari, endoteliali), fibre elastiche, fibre connettivali, fibre collagene.
L’arteria sana svolge quindi nel nostro organismo importanti e molteplici funzioni: barriera impermeabile, azione antitrombotica o protrombotica (a seconda delle condizioni), regola la pressione arteriosa contribuendo alla propagazione dell’impulso sistolico proveniente dal cuore.
Quindi l’aterosclerosi è la malattia delle arterie che “ammalandosi” perdono parte della loro funzione attiva.
La malattia si identifica con la formazione di “placche ateromasiche” (all’interno dell’arteria) contenenti materiale amorfo, cellule muscolari alterate, cellule infiammatorie, cellule provenienti dal sangue e soprattutto da colesterolo (il cosiddetto colesterolo-cattivo-LDL).
![]() |
Placca |
Se la placca aumenta il suo volume occupa più spazio all’interno dell’arteria determinando un restringimento (la cosiddetta stenosi) che progressivamente può comportare la completa ostruzione del vaso.
Il restringimento o occlusione dell’arteria comporta di conseguenza una riduzione di ossigeno nell’organo vascolarizzato da questa arteria e quindi una morte del tessuto. Nel caso del cuore la malattia delle coronarie (arterie del cuore) sarà responsabile dell’infarto, nel caso delle carotidi (arterie che portano il sangue al cervello) dell’ictus cerebrale, nel caso delle arterie degli arti inferiori delle gangrene con rischio di amputazione delle dita o della gamba, nel caso delle arterie del rene dell’insufficienza renale progressiva con rischio di dialisi, nel caso delle arterie dell’occhio della malattia della retina con rischio di cecità, nel caso delle arterie dell’intestino una riduzione di flusso con rischio di ischemia intestinale.
Tutte le arterie possono essere interessate, tanto che l’aterosclerosi è definita una malattia “multidistrettuale”.
Una malattia “non banale” tanto che “le malattie cardiovascolari” (provocate dall’aterosclerosi) rappresentano ancora la “principale causa di morte” nel nostro paese.
Il processo aterosclerotico una volta iniziato è quasi sempre irreversibile; un processo condizionato e soprattutto favorito dal: fumo di sigaretta, diabete, ipertensione arteriosa, dislipidemia (soprattutto livelli di colesterolo cattivo LDL” alto), obesità, sedentarietà.
Ma possiamo fare qualcosa? Certamente si!
Assumendo farmaci? Non sempre possono risolvere il problema.
Interventi chirurgici? A volte indispensabili.
Basterebbe soprattutto adottare uno “CORRETTO STILE DI VITA” (controllando i fattori di rischio quali diabete, ipertensione arteriosa), un’adeguata e bilanciata alimentazione, un routinario esercizio fisico (anche semplici passeggiate quotidiane), smettere di fumare, un controllo del proprio peso corporeo.
Quindi un “SANO STILE DI VITA”.
Si dice sempre che “prevenire” è meglio che “curare”, ma a volte sembra che siamo più contenti a “farci curare” che a cercare veramente di fare “prevenzione”, di salvaguardare il nostro corpo, la nostra “macchina perfetta”.
Prevenzione significa anche intervenire tempestivamente prima che la malattia determini seri danni anche se i progressi in campo farmacologico e chirurgico (anche con tecniche endovascolari) hanno determinato una progressiva riduzione delle complicanze dell’aterosclerosi e quindi anche della mortalità cardiovascolare.
Ma prevenzione significa anche accertarsi dello stato del proprio corpo, dell’eventuale presenza di squilibri metabolici (soprattutto glicemia e colesterolo), dell’eventuale stato ipertensivo per intervenire in maniera tempestiva.
Ciò è facilmente valutabile con degli esami di sangue , con la valutazione del valore della pressione arteriosa, con la valutazione del peso corporeo, della massa adiposa.
Ma possiamo “guardare” dentro le arterie?
Possiamo capire se ci sono già delle placche?
Possiamo sapere se è già iniziato nel nostro organismo il processo spesso irreversibile dell’ateriosclerosi?
Possiamo sapere se eventuali alterazioni del nostro stato di salute (diabete, ipertensione arteriosa, colesterolo alto, obesità) o il nostro stile di vita non perfetto (fumo di sigaretta, sedentarietà) hanno già creato dei danni?
Sicuramente si!
Considerando che la malattia aterosclerotica interessa spesso tutte le arterie, si possono valutare le alterazioni presenti nelle CAROTIDI, arterie che si trovano nella regione latero-cervicale del collo e che portano il sangue direttamente nel cervello.
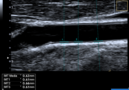
Riusciamo a “guardare” dentro le carotidi mediante un semplice esame non invasivo: l’ECOCOLORDOPPLER.
L’esame permette di valutare “la salute” delle nostre carotidi, le iniziali alterazioni della parete arteriosa (misurando l’ispessimento dello strato intermedio ed interno del vaso definito IMT), la presenza di placche ateromasiche e la % di restringimento del vaso.
![]() |
Ecocolordoppler: misurazione IMT (spessore tra strato intermedio ed interno dell’arteria) | |
![]() |
Ecocolordoppler: placca all’interno della carotide interna |
Studi scientifici hanno dimostrato l’importanza del ruolo dell’IMT dell’arteria carotide come iniziale marcatore per calcolare il rischio di patologie cardiovascolari. In particolare l’IMT risulta essere significativamente associato con il rischio d’infarto cardiaco, di ictus cerebrale, di morte improvvisa; tutto ciò anche in soggetti apparentemente sani con età superiore a 65 anni.
Il riscontro inoltre di restringimenti severi della carotide (stenosi superiori al 75 %) permette di identificare soggetti ad altissimo rischio di ictus cerebrale, patologia purtroppo spesso silente senza iniziale sintomi ma con drammatiche conseguenze una volta verificatosi.
La carotide quindi una “spia” del nostro stato di salute….
Dr. Salvatore Piazza
Medico Chirurgo specialista in Chirurgia Vascolare
















